Image Guided Injections and Biopsies
Image-guided injection procedures use advanced ultrasound or CT imaging to accurately target areas of pain. By visualising the needle in real time, our specialists can precisely deliver medication directly to the affected site — helping to relieve symptoms, reduce inflammation, and improve function. These techniques offer a safe, minimally invasive alternative to surgery, with quicker recovery and excellent outcomes.
Image Guided Procedures
-
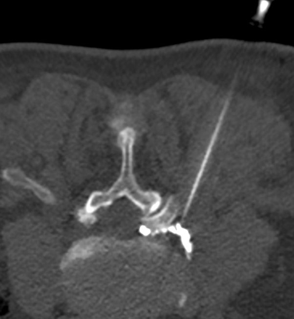
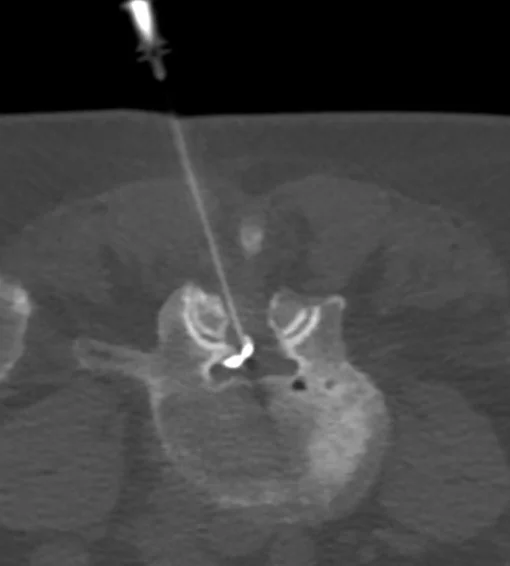
A CT-guided lumbar spine injection is a procedure used to deliver medication directly to the spine to treat pain, inflammation, or nerve irritation in the lower back. This injection can target different areas depending on the condition being treated, including:
Nerve Block: Used to target specific nerves, providing pain relief and helping to pinpoint the source of pain.
Epidural Injection: Aimed at reducing inflammation and pain in the epidural space, often for conditions like herniated discs or sciatica.
Facet Joint Injection: Focuses on the facet joints in the spine, often used to treat arthritis or joint-related pain in the lower back.
-
General musculoskeletal joint injections are performed to treat pain and inflammation in various joints of the body, such as the shoulders, knees, hips, and elbows. This procedure is commonly used to manage conditions like arthritis, bursitis, tendonitis, or other joint-related injuries.
-
Euflexxa is a hyaluronic acid injection used to relieve pain and improve movement in joints affected by osteoarthritis, especially the knee. It provides lubrication without the side effects of steroids. The treatment involves three injections given about a week apart. All medications are supplied by Lindfield Radiology.
-
A core biopsy and fine needle aspiration (FNA) are minimally invasive procedures used to obtain tissue or cell samples from suspicious areas, such as lumps or lesions. These procedures are typically performed when further investigation is needed to diagnose conditions like cancer, infections, or other abnormalities.
These are performed under local anaesthesia to ensure patient comfort, and most patients can resume normal activities the same day.
Patient Information
Preparation
If you are on blood thinners (e.g., aspirin, warfarin), please inform our team. You may need to stop these medications a few days before your procedure.
Inform us about any local skin conditions, systemic infections or allergies, particularly to medications, contrast dyes, or anesthesia.
Please bring any previous scans (such as X-rays, ultrasounds, MRIs, or CT scans) along with their reports to the clinic. We may require performing a diagnostic scan if there are no previous imaging.
Please bring a responsible person who can ensure safe transport home following the procedure.
After Your Procedure
You may experience mild swelling and tenderness. Avoid intense exercise over the next few days. You can return to work the following day and gradually increase your activity level. If you notice severe pain, redness, or bleeding, please contact our clinic or your referring doctor right away.
Since we use local anesthetics during the procedure, once the anesthetic wears off, you might experience some discomfort or pain again. This is normal and should subside as the steroid medication starts to take effect over the next few days, providing longer-term relief.
Due to the use of local anesthetics, we advise you to not drive following the procedure. Please bring a responsible person who can ensure safe transport home
Awareness of Risks
Serious complications are rare. These include:
Infection: Rarely, an infection may occur at the injection site or deeper within the tissues. These range from minor (<1%) to serious (<0.1%)
Bleeding: There is a small risk of bleeding, particularly in patients with bleeding disorders or taking blood-thinning medications.
Nerve Damage: Although uncommon, there is a slight risk of irritation or injury to nearby nerves, which may cause temporary pain, tingling, or weakness.
Dural Puncture: In spinal injections, there is a very small risk of the needle puncturing the membrane around the spinal cord (the dura), which can cause a temporary headache. Flat bed rest can help alleviate this.
Our radiologists take every precaution to minimize these risks by using sterile technique and precise CT imaging guidance throughout the procedure.
CT-Guided Lumbar Injections
-

Nerve Block/Perineural
Nerve blocks, also known as perineural injections, are used to target specific nerves that are causing pain, inflammation, or discomfort. This procedure is frequently used to treat conditions such as neuralgia or radiculopathy.
-

Epidural
An epidural injection is used to deliver medication directly into the epidural space of the spine. The procedure is commonly performed to treat chronic back pain caused by conditions such as herniated discs, spinal stenosis, or sciatica.
-

Facet Joint
Facet joint injections are used to treat pain originating from the facet joints in the spine, often caused by arthritis or degeneration. This can provides pain relief and reduces inflammation within the facet joint.
Euflexxa Injection
Euflexxa is a hyaluronic acid injection used to relieve knee pain caused by osteoarthritis (OA). Hyaluronic acid is a naturally occurring substance found in the fluid around your joints that helps lubricate and cushion them. By replenishing the joint’s natural lubrication, this helps to reduce friction, improve movement, and relieve pain without the side effects of steroids.
The treatment involves three injections given about a week apart. All medications are supplied by Lindfield Radiology and the procedure itself is fully bulk billed for Medicare patients.

