Ultrasound
Ultrasound is a safe imaging technique that uses high-frequency sound waves to create real-time pictures of the body’s internal structures without the use of radiation. Ultrasound is widely used to assess many parts of the body, including abdominal organs, pregnancy, blood vessels, and paediatric conditions. Its versatility makes it an essential tool for diagnosing concerns, guiding treatment, and providing reassurance with accurate and immediate results.
Ultrasound Services
-
General ultrasound is used to assess many of the body’s internal organs, including the abdomen, pelvis, and soft tissues. It helps identify causes of pain, swelling, or abnormal blood tests, and provides clear real-time images without radiation.
-
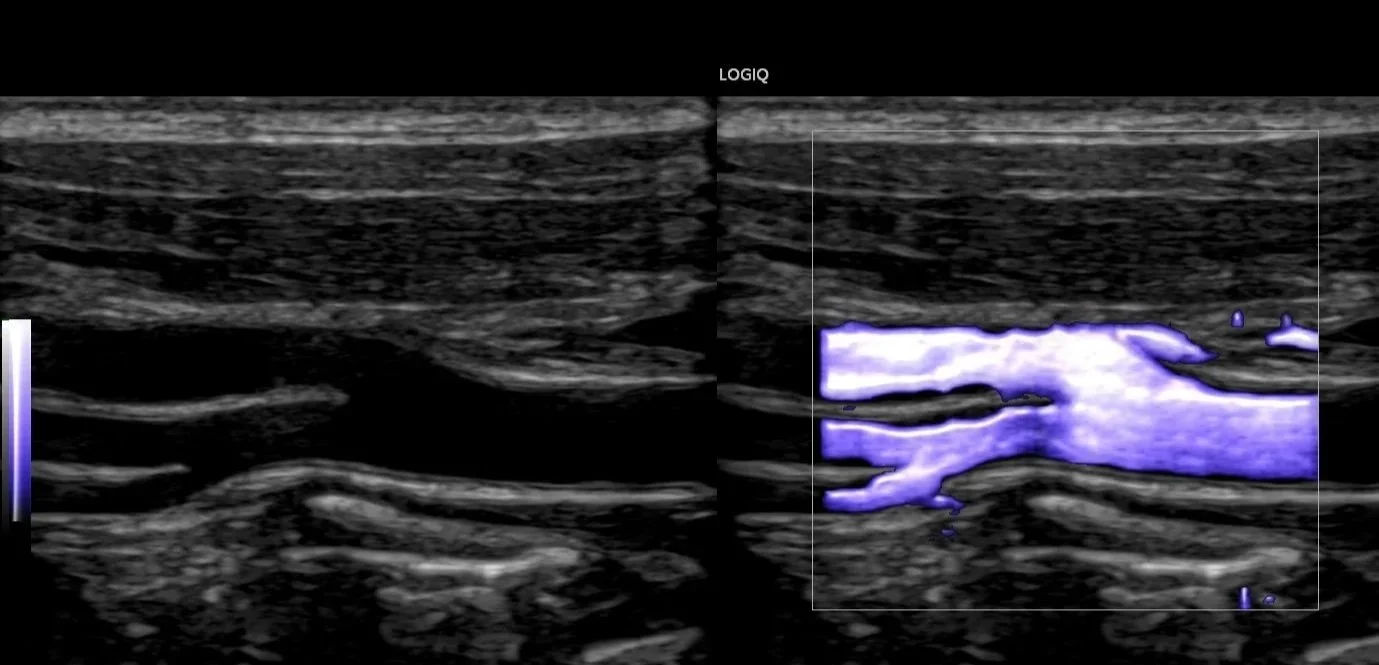
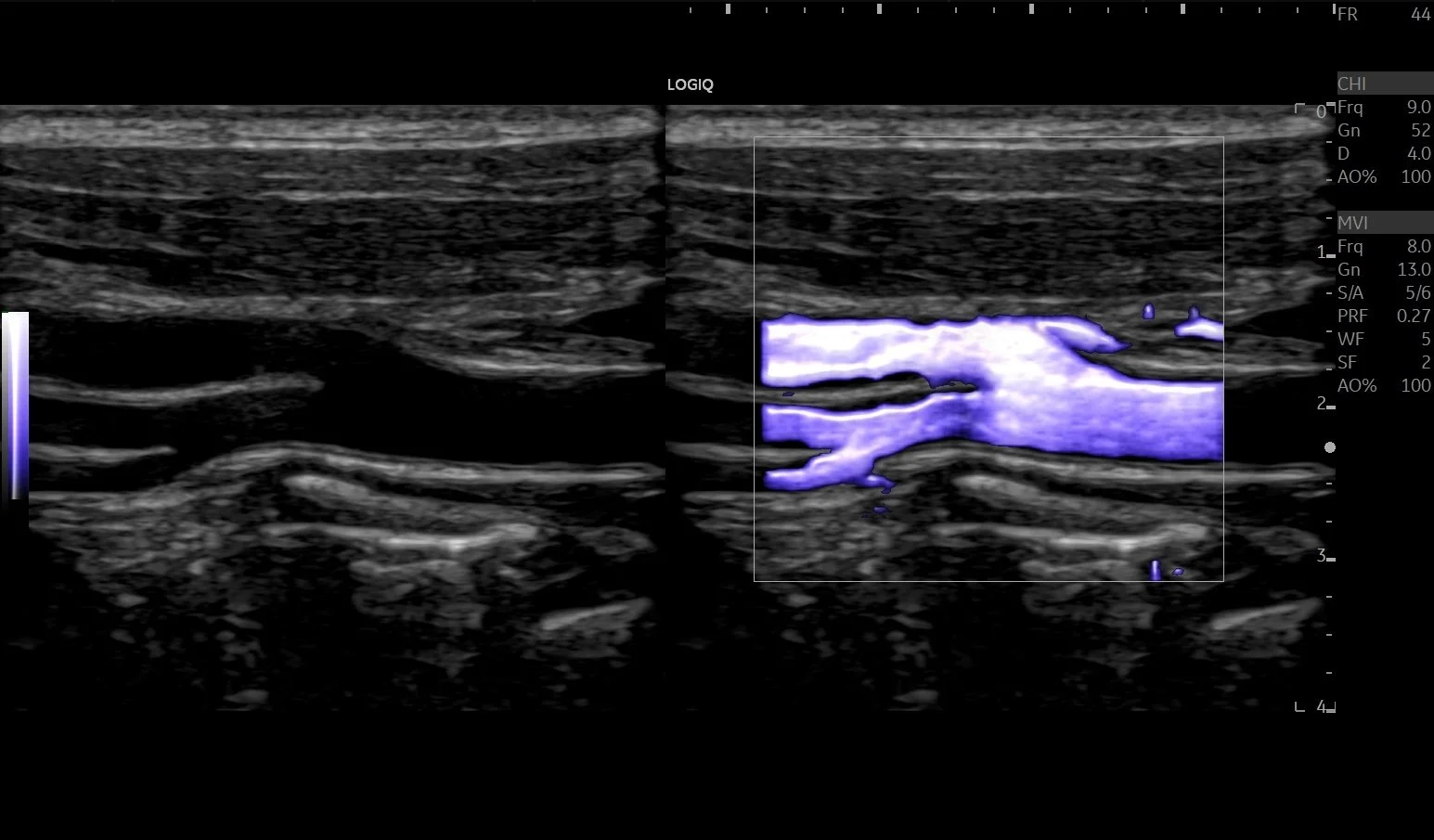
Doppler and vascular ultrasound focus on blood flow and blood vessels. This technique can detect blockages, narrowing, or abnormalities in arteries and veins, helping diagnose circulatory issues and guide treatment.
-
Obstetric and gynaecological ultrasound provides detailed imaging of the female pelvis and developing pregnancy. It is commonly used to monitor fetal growth and wellbeing, assess early pregnancy, and investigate gynaecological concerns such as pelvic pain or abnormal bleeding.
-
Musculoskeletal ultrasound evaluates muscles, tendons, ligaments, joints, and other soft tissues. It is particularly useful for diagnosing injuries, inflammation, tears, and other conditions affecting movement, and can assist in guiding targeted treatments.
Radiation Free, High Diagnostic Value
Ultrasound utilises sound waves rather than ionising radiation, making it a safe and well-established imaging modality. Our examinations provide high-quality diagnostic information, supporting accurate assessment without compromising patient safety.
Patient-Centred Care
Patient care is central to our practice. Examinations are conducted with professionalism, respect, and attention to comfort, ensuring each patient feels informed, supported, and at ease throughout their appointment.
Real Time Clinical Assessment
Ultrasound offers real-time imaging, allowing anatomical structures to be assessed dynamically during the examination. This capability supports precise evaluation and enables findings to be correlated immediately with clinical information.
Comprehensive Diagnostic Ultrasound Services
We provide a comprehensive range of diagnostic ultrasound services across multiple clinical applications. All examinations are performed using high-quality equipment and interpreted by experienced clinicians to ensure reliable, clinically relevant results.
Services
General
Abdominal
Pelvis
Kidney/Renal
Neck/Thyroid
Breast
Scrotal
Head/Orbits.
Obstetrics & Gynaecology
Dating Scan
Early Structural (12-16 Weeks) Scan*
Morphology*
Nuchal Translucency Scan*
Third Trimester
*Medicare rebate may be available
Musculoskeletal
Chest/Abdominal Wall
Lumps and Bumps
Hand/Wrist/Forearm/Elbow
Shoulder
Hip/Groin
Buttock/Thigh
Knee/Ankle/Foot
Doppler/Vascular
Arterial Lower/Upper Limb
Deep Vein Thrombosis (DVT) Upper/Lower Limb
Chronic Venous Insufficiency (CVI)
Carotids
Renal Doppler
Aorta Doppler
Shear Wave Electrography (SWE)
Penile

